Estetica
L’estetica dentale si concentra sull’aspetto visivo dei denti e della bocca, migliorando l’armonia e la brillantezza del sorriso.
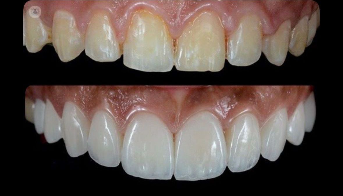
Lo Studio Dentistico Barbaro dona nuova luce al volto dei pazienti risolvendo discromie e alterazioni della forma dentale con faccette minimamente invasive e soluzioni protesiche.

Chiama e prenota la tua visita gratuita





